Blog, Baked Ziti, and Grapes

Okay, my wonderful hubby put up this blog for us, so I thought I'd chip in. :D  I've been sharing my pregnancy stories/news with the Bump members, and now that I have my own blog, I thought I'd record some of my journey here.

So on February 6th, we found out that we were pregnant.  We had been trying for a while, and I had just gone to the doctor's office the day before to make sure nothing was wrong.  The doc did a short physical exam ("everything looks fine") and the lab drew some blood.  I missed a call from them that night, and I remember Kris and me wondering, "Why would they call us?  Maybe..." 

But we didn't really want to get our hopes up, so we waited till the next morning to call them back.  I got a hold of the nurse, "Your blood work from yesterday looks like you're positive for pregnancy!"

I'll never forget that feeling.  I went and found Kris, and I whispered in his ear, "It's positive for pregnancy."  We held each other, (while I was bawling) and enjoyed our "moment". :)

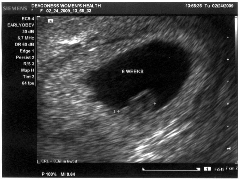
Anyway.  Fast forward 8 weeks.  I'm 12.5 weeks along now,  and still full of worry and paranoia.  I thought after a couple of doctor's appointment, seeing the heart beat of the baby, I would calm down.  But no such luck.  I still wake up in the morning, wondering if the baby is safe and sound.  This is why some women get dopplers I guess.  It's a little better than earlier weeks, but at week 12, I still worry.  My next appointment isn't until the 23rd of April, so I'm getting really antsy.  Kris calls it "ultrasound withdrawl".  I had some spotting earlier (weeks 6 and 8), which really got us worried, and because of the spotting, we got a couple of early ultrasounds in.  Now that I won't get one for four more weeks, I'm just going crazy!

I've been blessed so far to have a pretty easy journey.  No bad morning sickness, just extreme fatigue and a little bit of nausea.  The first 6 weeks or so, I had severe aversion to food, but as the title of the blog indicates, I've gotten over that. :) Fruit has been my constant staple, and right now I'm in the "grape phase".

Stay comfy and cozy in there, Little One!

Image
6 week ultrasound
Ultrasound at 6 weeks
Image
10 Week ultrasound
Ultrasound at 10 weeks

 

 

Add new comment

The content of this field is kept private and will not be shown publicly.